Navigation überspringen Sitemap anzeigen

Makuladegeneration in Wien behandeln lassen beim Spezialisten

Meine Kompetenz als Makula-Spezialistin ist besonders gefragt, denn die altersbedingte Makuladegeneration (AMD) ist eine häufig auftretende Krankheit. Sie betrifft am häufigsten Menschen nach dem 55. Lebensjahr. In der Altersgruppe der Über-70-Jährigen ist in der Bevölkerung sogar ein Prozentsatz von 20 Prozent von dieser Erkrankung betroffen.

Es ist daher ein wichtiges Anliegen für mich, dieser großen Gruppe ein optimales Behandlungsangebot zu machen. Bei Ihrer Makuladegeneration biete ich Ihnen daher als Augenspezialist die bestmögliche Unterstützung.

Prim. Prof. Dr. Susanne Binder kümmert sich um Ihre Makuladegeneration

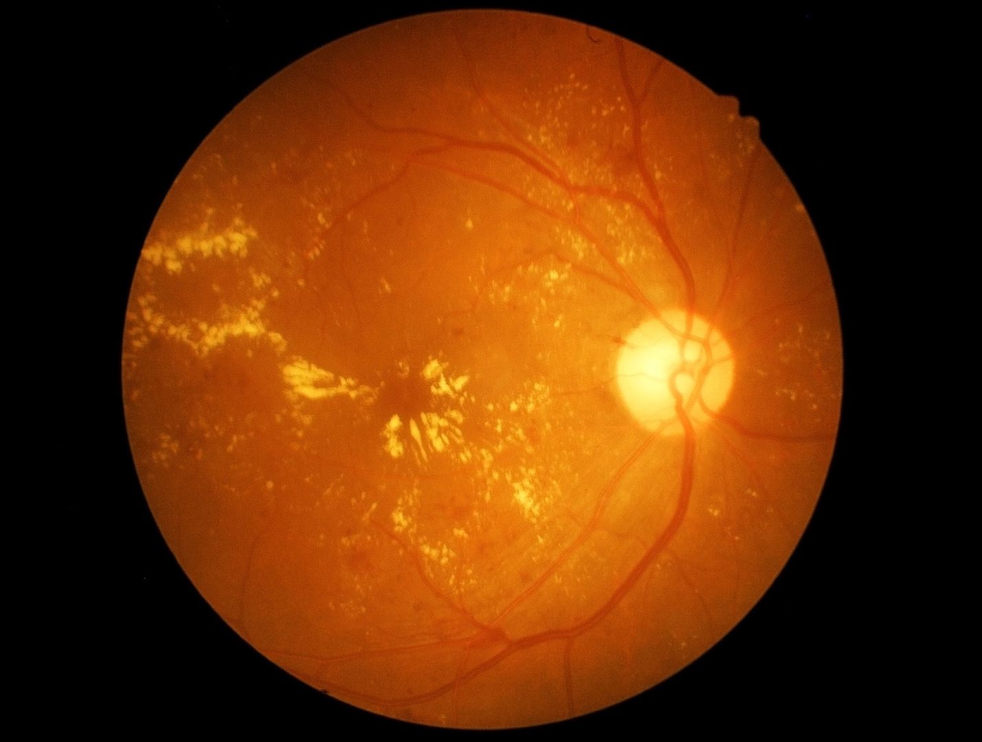
Viele Faktoren tragen zur Entstehung der Makuladegeneration bei. Das Alter des Patienten, seine Genetik und das Rauchen spielen z. B. eine wichtige Rolle. Zu einer völligen Erblindung kommt es zwar nicht, das zentrale Sehen geht jedoch verloren. Sie können nicht mehr mit dem Auto fahren, Kleingedrucktes lesen oder die Gesichter Ihrer Mitmenschen erkennen. Typisch ist auch, dass Sie zu Beginn der Erkrankung verzerrte Linien oder einen unbeweglichen Fleck in der Mitte sehen.

Ich biete Ihnen eine moderne Behandlung an und helfe Ihnen dabei, das Sehvermögen wieder deutlich zu verbessern. Dafür bringe ich als Augenspezialistin und Makula-Spezialistin die geeignete Ausbildung mit.

Fragen und Antworten Makuladegeneration

Was ist eine Makuladegeneration?

Gibt es verschiedene Formen einer altersbedingten Makuladegeneration?

So gehe ich als Makula-Spezialistin bei der Makuladegeneration vor

Ich kenne mich mit allen Formen der Makuladegeneration bestens aus und finde auch für Ihren Behandlungsfall eine Lösung. Zu unterscheiden sind bei dieser Krankheit zwei Formen:

  • Bei der trockenen Form der Makuladegeneration kommt es zu einem Absterben der Zellen in der Makula (gelber Fleck). Ich verschreibe in diesem Fall Netzhautvitamine und eine Lupenbrille.
  • Bei der feuchten Form kommt es zu Gefäßeinsprossung unter der Netzhaut, zu Blutungen und Schwellungen. Heute behandelt der Makula-Spezialist diese Form mit regelmäßiger Einspritzung von Medikamenten (Anti-VEGF's) in den Glaskörper.

Kontaktieren Sie mich umgehend bei einer Makuladegeneration, ich helfe als Augenspezialistin Patienten aus Wien und Umgebung!

Zum Seitenanfang