Navigation überspringen Sitemap anzeigen

Leistungen

Operationen (Belegspital)

Laserchirurgie

  • Trübungen der Kapsel nach Kataraktoperation
  • Netzhauterkrankungen wie Diabetes oder Netzhautrissen
  • Glaukompatienten

Laserchirurgie am Auge sind meist in Tropfanästhesie möglich. Sie werden ambulant oder tagesklinisch durchgeführt.

Basisuntersuchung

  • Die Ordination 8. Zeltgasse 1 (Ecke Piaristengasse) ist in einem stark bewohntem Gebiet.
  • Eine nahe Parkgarage ist die ASTORIA Garage in der Trautsongasse , wo sie stundenweise parken können
  • Im Haus Zeltgasse 1 bringt sie ein Lift in den 2. Stock, Tür Nr. 9
  • Nach Erhebung ihrer Daten werden sie zur Voruntersuchung weitergeleitet
  • Nach Erhebung ihrer Anamnese und aktuellen Beschwerden startet die Augenuntersuchung

Voruntersuchung

1: Lensmeter zur Brillenvermessung

2: Auto Refraktometer zur Bestimmung der aktuellen Dioptrienwerte

3: Sehtest und Brillenbestimmung

Untersuchung mit der Spaltlampe (Mikroskop)

  • Eine Pupillenerweiterung zur genauen Netzhautuntersuchung wird zuerst durchgeführt
  • Dann wird der vordere Augenabschnitt untersucht , also die Lider, Bindehaut, Hornhaut, Linse
  • Die Augendruckmessung ist besonders nach dem 40. Lebensjahr wichtig, er sollte 20 mm Hg nicht überschreiten
  • Bei der Untersuchung des hinteren Augenabschnittes werden Glaskörper, Sehnerv, Gefäße und die gesamte Netzhaut beurteilt

Spezialuntersuchungen

Gesichtsfelduntersuchung
Zur Bestimmung von Gesichtsfeldausfällen bei:

  • Sehnervenschaden (z. B. Glaukom)
  • Schlaganfall
  • Tumore
  • Lidfehlstellungen

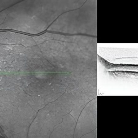
Optische Kohärenztomographie (OCT)

  • Die tomographische Untersuchung, kurz OCT (Optische Kohärenztomographie) erstellt Querschnittsbilder der Netzhaut, des Sehnervs und der Hornhaut und ist eine wichtige Zusatzuntersuchung neben dem Spaltlampenmikroskop.
  • Die Untersuchung ist nicht invasiv, ungefährlich, berührungslos und schmerzfrei.
  • Mein Gerät nutzt die weltweit modernste Technologie und ermöglicht genaueste Diagnose über Erkrankungen der oben genannten Organe. Insbesondere für die Erkennung und Kontrolle der häufigen AMD (Altersabhängige Makula Degeneration), der Diabetischen Netzhauterkrankung und des Glaukoms (Grüner Star) ist die Optische Kohärenztomographie (OCT) von unschätzbarem Wert.
  • Die OCT gehört heute zur Standarduntersuchung vieler Augenerkrankungen, die dann innerhalb kürzester Zeit diagnostiziert und dokumentiert werden können.
Linsen(-implantat)-Vermessung = Biometrie
  • das genaue Ziel der Dioptrienwerte nach der Katarakt-Operation wird vor der Operation besprochen
Jetzt Termin mit mir vereinbaren
Zum Seitenanfang